Стоматолог-ортопед

Сухов Евгений Игоревич

Забочусь о здоровье и красоте вашей улыбки.

Доктор Сухов Евгений Игоревич

Примеры работ

Результаты лечения моих пациентов

До лечения До
После лечения После

Протезирование коронками

Восстановление зубов керамическими коронками

До лечения До
После лечения После

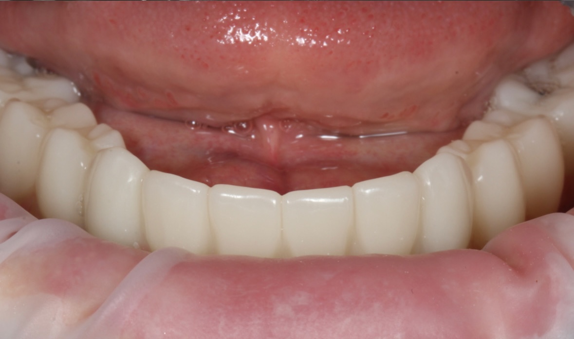
Протезирование All-on-4

Полное восстановление зубного ряда на четырёх имплантах

До лечения До
После лечения После

Имплантация и коронки

Комплексное восстановление с имплантами

До лечения До
После лечения После

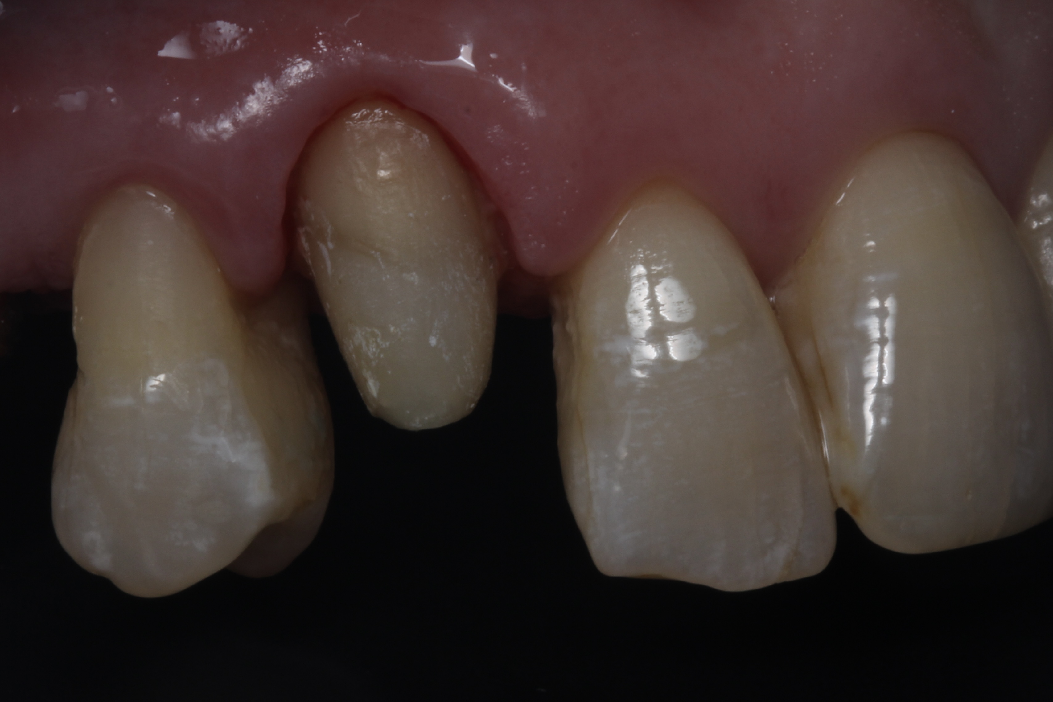
Керамическая коронка

Протезирование 21 зуба керамической коронкой

До лечения До
После лечения После

Восстановление и протезирование

Комплексное лечение и восстановление зуба коронкой

До лечения До
После лечения После

Протезирование на импланте

Установка коронки на имплант в области зуба 4.6

Отзывы пациентов

Что говорят о моей работе

Евгений Игоревич установил мне коронки на передние зубы. Результат потрясающий! Коронки выглядят абсолютно естественно, никто не замечает. Спасибо за мастерство!

АМ
Анна Михайлова Декабрь 2024
★★★★★

Делал тотальную реабилитацию по системе All-on-4 у Евгения Игоревича — результат отличный! Всё прошло комфортно, новые зубы выглядят естественно и удобные. Могу спокойно есть и улыбаться. Огромная благодарность за профессионализм!

ДС
Дмитрий Соколов Ноябрь 2025
★★★★★

Евгений Игоревич поставил мне керамические виниры на верхнюю челюсть. Улыбка преобразилась полностью! Работа выполнена безупречно, очень благодарна!

ЕК
Елена Козлова Октябрь 2025
★★★★★

Установил имплант и коронку у Евгения Игоревича. Процесс прошёл без осложнений, всё зажило отлично. Результат превосходный — как свой родной зуб!

ПВ
Павел Волков Сентябрь 2025
★★★★★

Обратилась к Евгению Игоревичу за протезированием — боялась, но врач сразу успокоил и всё подробно объяснил. Коронка встала идеально, зуб выглядит как настоящий. Очень довольна результатом!

ОН
Ольга Новикова Июль 2024
★★★★★

Евгений Игоревич — настоящий профессионал. Сделал мне мост на нижней челюсти, всё прошло аккуратно и безболезненно. Уже несколько месяцев никаких проблем — рекомендую всем!

АГ
Александр Громов Март 2024
★★★★★

Прошла комплексную реабилитацию с имплантами и коронками у Евгения Игоревича. Весь процесс прошёл чётко и без стресса. Результат радует каждый день — наконец-то улыбаюсь без стеснения. Спасибо огромное!

ТЛ
Татьяна Лебедева Февраль 2026
★★★★★

О враче

Сухов Евгений Игоревич — стоматолог-ортопед

Сухов Евгений Игоревич

Сухов Евгений Игоревич

Стоматолог-ортопед

🎓 Высшее медицинское образование
💼 Клиника Дентарио

Специализируюсь на функциональной и эстетической реабилитации пациентов с частичной и полной потерей зубов. В своей работе сочетаю современные цифровые технологии, точную диагностику и индивидуальный подход к каждому клиническому случаю.

Основные направления

  • Протезирование на имплантах
  • Тотальные реабилитации All-on-4 / All-on-6
  • Эстетическое протезирование
  • Восстановление функции жевательной системы
  • Комплексное восстановление улыбки

Особое внимание уделяю не только внешнему результату, но и биомеханике, долговечности конструкций и комфорту пациента.

Обучение и развитие

Постоянно совершенствую свои знания и навыки, обучаясь у ведущих специалистов в области ортопедической стоматологии и имплантологической реабилитации.

Алексей Земан Иньяцио Лои Гамид Насуев Юрий Васильев Юрий Хасратьянц Сергей Елисеев Виктор Прокопович

Медицинские ассоциации

🎓 American Academy of Implant Dentistry (AAID)
🎓 Стоматологическая ассоциация России
💡

Философия работы

Красивая улыбка должна быть не только эстетичной, но и функционально правильной, стабильной на долгие годы. Моя задача — вернуть пациентам уверенность в себе, комфорт в повседневной жизни и здоровье всей зубочелюстной системы.

Проверенный врач

Профиль на ПроДокторов

Реальные отзывы пациентов, рейтинг и подробная информация о враче на крупнейшем портале России

Контакты

Запись ведётся в клинике Дентарио

📍

Адрес

г. Ставрополь, пер. Макарова, 2

📞

Телефон клиники

+7 (865) 257-76-46

+7 (865) 259-55-74

🕐

Время работы

Пн-Вс: 9:00 - 22:00

Без выходных